MS Treatment Decisions: When to Discontinue Disease-Modifying Therapies

Dr. McDonough:
Welcome to NeuroFrontiers on ReachMD. I’m Dr. Brian McDonough, and joining me to discuss the discontinuation of disease-modifying therapies, or DMTs, in multiple sclerosis is Dr. John Corboy. He’s a Professor of Neurology in the School of Medicine at the University of Colorado. He’s the former Charles Elliot Morris Chair of Neurology, the Executive Vice Chair of Neurology, and the Director of the Rocky Mountain Multiple Sclerosis Center in Colorado.
Dr. Corboy, thank you very much for being here today.
Dr. Corboy:
Thank you so much for having me.
Dr. McDonough:
To start us off, Dr. Corboy, what prompted your interest in exploring the discontinuation of DMTs in multiple sclerosis, particularly among older patients?
Dr. Corboy:
Well, Brian, like a number of things in medicine, it was an accumulation of a variety of different pieces of information. We knew for many years that we had limited data from clinical trials supporting the use of these medications in older patients because they had essentially been excluded from clinical trials. Knowing this and seeing patients as they were getting older, many of these patients were using more highly effective therapies, some of which had higher risks, and so the risk-benefit ratio may have been changing for them. But in my own observations with aging patients, many of whom had stopped using their DMTs, they had actually done just fine if they had been stable for prolonged periods of time. Ultimately, patients started asking—especially older, stable patients who were tired of using the older injectable drugs, because many of these patients had be stable for 15 years before the newer drugs became available—they were just saying, “Hey, can I stop this?” So that was the biggest thing that led to this. And then observational trials started to just come out that showed at least some of the risk factors associated with potential disease recurrence should you discontinue your disease-modifying therapy, and on the basis of that, it prompted us to write the DISCO-MS clinical trial, which, in fact, was the first randomized controlled trial with multiple sclerosis patients discontinuing their therapy.
Dr. McDonough:
And how do you approach shared decision-making with patients who are hesitant to discontinue their DMTs despite stable disease?
Dr. Corboy:
A number of people, as they age, are already discontinuing their disease-modifying therapies for a number of reasons, but we did a study where we asked people who are 56 on average and remaining on their disease-modifying therapies, and we just asked a simple question: “Would you be willing to consider a trial off of therapy?” And the vast majority said no. Only about 12 percent of people said they would be interested in going off the drug, so there’s two populations of people as they age: people who are going off medications and those who really are unwilling to even consider that.
So in terms of approaching decision-making with the patients, you have to go where they are. You have to meet them with their fears and what kinds of problems they have when they want to consider that or are even starting to consider that. So for older stable patients, obviously it’s a fear that they’ll have return of any disease activity. That would be a very big change for them since they had been stable for a period of time. And for older patients who have slowly worsening MS or progressive MS, the fear would be that they would have an uptick in the degree or the pace at which they have progression of disability. So we’re dealing with those fears and also the fears of their spouses or other loved ones who often can’t appreciate what it feels like inside the patient’s body, but they have very large concerns as well. So it’s trying to address those fears and trying to give the people the greatest amount of information you can, and then helping them make the decision that works best for them because it’s not going to be the same decision for everybody.
Dr. McDonough:
What roles do disease duration and progression play in deciding between de-escalation and discontinuation of DMTs?
Dr. Corboy:
They play a very large role. The things that matter with regard to predicting disease recurrence are age, disease duration, and primarily, the recency of either a new relapse or new MRI activity on the scans. So those play a very big role, and so does progression of disability. Progression of disability plays a role because of its uncertainty factor. We don’t have a lot of therapies that really have a significant impact on slow progression of disability, and so it has a significant role in the sense that if you are progressing for a prolonged period of time in spite of using disease-modifying therapies, then it probably suggests that they’re probably not doing very much. So those factors are extremely important. And right now, although the choices are limited with regard to slow progression of disability that’s independent of relapses, we’re hopeful that new categories of drugs will be potentially helpful—especially, for example, the Bruton tyrosine kinases inhibitors or BTK inhibitors, which are slowly coming up now on releasing phase 3 trials.
Dr. McDonough:
For those just tuning in, you’re listening to NeuroFrontiers on ReachMD. I’m Dr. Brian McDonough, and I’m speaking with Dr. John Corboy about discontinuing disease-modifying therapies in multiple sclerosis.
So, Dr. Corboy, given the increasing risks of infections and side effects with DMTs, are there any specific biomarkers or clinical indicators you rely on to predict when to safely discontinue therapy?
Dr. Corboy:
That’s an excellent question. At present, the use of serum biomarkers has been relatively disappointing with regard to this particular question. If you stopped using a disease-modifying therapy, could a bump up in one of the biomarkers—for example, serum neurofilament light—be predictive of new disease activity? It might prompt you to go back on your disease-modifying therapy. While it’s true that a bump up can be predictive, the reality is the vast majority of people have elevations in these biomarkers after the fact, and so it’s very insensitive as a marker, at least serum neurofilament light and serum GFAP.
Looking forward, we’re hopeful that some other biomarkers will be beneficial in terms of predicting risk of disease recurrence going forward should someone discontinue their medication.
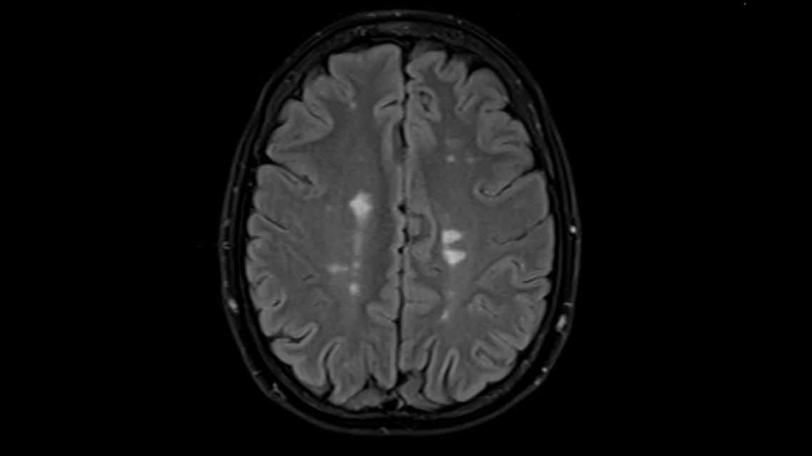
We also still use routine MRI scans though, and when someone goes off a drug, it’s very useful to continue to monitor them. It’s extremely important to continue monitoring them. And if there’s return of disease activity, then the question just becomes, “Well, how much new disease activity is concerning?” Is one small new lesion concerning, or is it maybe two or three or however many, or maybe active lesions? That’s actually an unanswered question, but probably one or even two new small lesions on your scan that occur intermittently have not really been shown to be associated with a significant change on someone’s examination, for example, five or ten years later. Three or more lesions or an active lesion clearly would be concerning, however. There’s also probably new MRI approaches that are coming out that may be helpful to show us very subtle signs of inflammation, especially compartmentalized inflammation inside the nervous system that could be different, and so in the future we’re hopeful that those will be important. But right now, the clinical indicators that are most useful in terms of defining the risks are going to be age, time since onset, and time since last new disease activity.
Dr. McDonough:
I have one final question as a follow-up to that, Dr. Corboy. When patients discontinue the DMTs, what long-term monitoring strategies do you recommend to ensure disease stability post-therapy?
Dr. Corboy:
So the first and most important thing is to make sure you communicate to the patient that even though their risks may be low, that the risk never goes to zero, and so they are going to need to continue to have some monitoring for at least some period of time. So what we typically do in, say, an average 60-year-old who decides on a trial off disease-modifying therapy is we make sure that their scan is stable at the time that we see them; we then discontinue the drug and recheck their scan at year one and year two; and if they are stable and the scans are stable, then we will continue to see the patient annually and maybe scan them every two to three years. If someone has had slowly progressive MS, we simply meet with them on a regular basis, every six months or so, and just do their examination, see how they’re going, and ask them a simple question: “Is your progression now today while you’re off medication about the same as it was while you were on the medication?” And if so, then we would potentially discontinue. If it’s worsened, we’ll have a discussion about going back on medication.
Dr. McDonough:
Those are great comments for us to think about as we come to the end of today’s program. And I want to thank my guest, Dr. John Corboy, for joining me to discuss how and when we can discontinue disease-modifying therapies in multiple sclerosis.
Dr. Corboy, it was great having you on the program.
Dr. Corboy:
Thank you very much, Brian. I appreciate the time, and I appreciate the opportunity.
Dr. McDonough:
For ReachMD, I’m Dr. Brian McDonough. To access this and other episodes in our series, visit NeuroFrontiers on ReachMD.com, where you can Be Part of the Knowledge. Thanks for listening.
Ready to Claim Your Credits?
You have attempts to pass this post-test. Take your time and review carefully before submitting.
Good luck!
Recommended


Bridging the Diagnostic Gap: Blood Biomarkers in Alzheimer’s Care
Bridging the Diagnostic Gap: Blood Biomarkers in Alzheimer’s Care
NeuroFrontiersBridging the Diagnostic Gap: Blood Biomarkers in Alzheimer’s Care


Advancing Schizophrenia Care: When and How to Use Novel Therapies in Complex Patients
Advancing Schizophrenia Care: When and How to Use Novel Therapies in Complex Patients
NeuroFrontiersAdvancing Schizophrenia Care: When and How to Use Novel Therapies in Complex Patients


Using fMRI to Identify Early Alzheimer’s Disease Subgroups
Using fMRI to Identify Early Alzheimer’s Disease Subgroups
NeuroFrontiersUsing fMRI to Identify Early Alzheimer’s Disease Subgroups


Understanding Schizophrenia: The Role of Neurotransmission and Inflammation
Understanding Schizophrenia: The Role of Neurotransmission and Inflammation
NeuroFrontiersUnderstanding Schizophrenia: The Role of Neurotransmission and Inflammation




















