Case Study: Immunotherapy and WBRT Lead to Sustained Remission in Stage IV NSCLC

10/30/2024
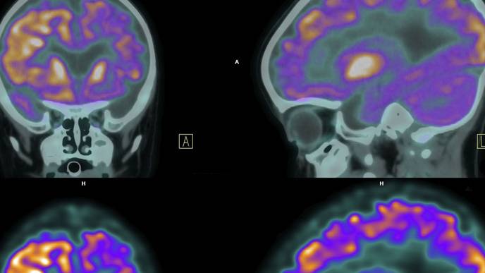
A recent case report highlights a complete and sustained response to immunotherapy in a patient with stage IV non-small cell lung cancer (NSCLC) and brain metastasis. Published in Oncoscience, the report documents a 51-year-old male patient who experienced durable survival and maintained quality of life after treatment with whole-brain radiotherapy (WBRT) followed by an immune checkpoint inhibitor (ICI).
This case illustrates the evolving potential of immunotherapy in patients with advanced NSCLC, particularly those with brain metastases, a group typically facing poorer outcomes. Following WBRT, the patient achieved both intracranial and extracranial responses, with no disease progression for over six years. His overall survival currently stands at 87 months, and progression-free survival at 73 months, providing a significant example of extended remission in the context of metastatic NSCLC.
Researchers propose that the sequencing of WBRT and immunotherapy may be key to understanding this outcome. Brain metastasis in stage IV NSCLC is often associated with high morbidity and limited long-term survival, yet this case demonstrates that integrated treatments, including ICIs, could yield promising results for selected patients.
While this single case cannot determine broader treatment standards, it highlights the potential for immunotherapy within sequenced treatment approaches in NSCLC with brain involvement. Future studies on treatment timing and combinations may provide further insights into achieving long-lasting responses for patients with complex cancer presentations.
